Friday, April 17, 2015

Neoplasm Mole

Neoplasm Mole Images

Gestational Trophoblastic Disease In Ectopic Pregnancy: A ...
2.1 Hydatidiform mole (Molar pregnancy): The most common form of gestational trophoblastic neoplasm with an incidence varying between 1:100 in Indonesia and 1:1000 in USA. 2. In this abnormal pregnancy, villi become oedematous (hydropic) and trophoblastic ... View Full Source

Pictures of Neoplasm Mole

In Addition, Address The Following Topics. Nursing Care Plan ...
Nursing Care Plan A Client with Malignant Melanoma Geoff Sanders, age 69, is retired from the further questioning,he states that the mole itches sometimes but has never hurt or bled.Mr.Sanders lived in Florida for 15 years and ... Document Retrieval

Neoplasm Mole

Familial Melanoma - Orpha
Familial melanoma Author: Dr Paolo Carli1 and Dr Camilla Salvini Creation date: Malignant neoplasm, familial atypical multiple mole-melanoma, hereditary cancer, CDKN2A gene, CDK4 gene,INK4A proteine, ARF proteine, p16, p14, MC1R receptor ... Read More

Pictures of Neoplasm Mole

Coding Dermatology Procedures - AAPC
Coding Dermatology Procedures Presented by: properly code a neoplasm it is necessary to determine from the record if the neoplasm is benign, in-situ, malignant, mole is a small basal cell carcinoma (later confirmed pathologically). ... Access Document

Neoplasm Mole Pictures

Trophoblastic neoplasm (Medical Condition) - YouTube
Symptoms, risk factors and treatments of Trophoblastic neoplasm (Medical Condition) Trophoblastic neoplasms are neoplasms which derive from trophoblastic tis ... View Video

Pictures of Neoplasm Mole

Gestational Trophoblastic Disease - Project MUSE
Complete hydatidiform mole Partial hydatidiform mole Invasive mole Choriocarcinoma Placental site trophoblastic tumour Epidemiology Pathogenesis It is a neoplasm composed predominantly of intermediate trophoblasls. It does not display ... Read More

Neoplasm Mole Photos

Gestational Trophoblastic Neoplasia - خانه
Title: Gestational Trophoblastic Neoplasia Author: user Last modified by: IHG Created Date: 2/1/2007 6:43:53 AM Document presentation format: On-screen Show (4:3) ... Return Document

Neoplasm Mole Images

Gestational Trophoblastic Disease
Gestational Trophoblastic Disease Alampady K.P. Shanbhogue, MDa,*, Neeraj Lalwani, MDb, malignant hydatidiform mole through malignant invasive mole, choriocarcinoma, It is a rare neoplasm and accounts for less than 1% of all GTD. ... Read Document

Neoplasm Mole

Treatment Of Nonmetastatic And Metastatic Low-risk ...
Treatment of nonmetastatic and metastatic low-risk gestational trophoblastic neoplasia: Factors associated with resistance to single-agent methotrexate The diagnosis of low-risk GTN (invasive mole or choriocarcinoma, excluding placental site tumor) was made by both histologic and ... Document Viewer

Pictures of Neoplasm Mole

Gestational Trophoblastic Disease - Medical Journal Of ...
Investigation and diagnosis Ultrasonography is a sensitive non-invasive investigation for the diagnosis of gestational trophoblastic disease. Complete hydatidiform mole ... Fetch Doc

Pictures of Neoplasm Mole

Oncology-related ICD-9-CM Codes Effective October 1, 2007 ICD ...
Oncology-related ICD-9-CM Codes Effective October 1, 2007 ICD-9-CM Codes Diagnosis (in preferred ICD-O-3 terminology) 237.0 – 237.1 Neoplasm of uncertain behavior of pituitary gland, craniopharyngeal duct, pineal gland ... Retrieve Here

Pictures of Neoplasm Mole

NEOPLASM (Dr - Angelfire
Neoplasm. mass composing the new growth. uncoordinated, purposeless growth that exceeds that of normal tissue, (except H-mole & leiomyoma) (aggressive, large & rapidly growing types . except basal cell carcinoma & glioma) ... Get Doc

Neoplasm Mole Images

Epithelioid Trophoblastic Tumor: A Case Report Of A Rare ...
Of a rare trophoblastic neoplasm Sreenivas Vemula1, Shoiab Zeeshan1, Sumalatha Kasturi1*, Madhavi P2, Triveni B3 1 Accepted: ABSTRACT mole, choriocarcinoma, Placental Site Trophoblastic Tumor (PSTT) and epithelioid trophoblastic tumor.1,2 ... Fetch This Document

Skin Tag Removal In 15 Mins @ Home! - YouTube
Http://www.skintag-s.com What is a skin tag? How do you get skin tags? What is a cutaneous skin tag? How to rid of skin tags? What are skin tags from? Removing tags from skin. Often confused with warts and moles, these are questions that have been asked by generations of people for ... View Video

Images of Neoplasm Mole

NCD For Human Chorionic Gonadotropin - Parkview Health
NCD for Human Chorionic Gonadotropin . Applicable CPT 630 : mole . Hydatidiform 164.2 ; Malignant neoplasm of anterior mediastinum . 164.2 : Malignant neoplasm of Malignant neoplasm of other and unspecified testis. 186.9 : Malignant neoplasm of other and unspecified testis. 183.0 ... Retrieve Doc

Neoplasm Mole Images

Coding Of Neoplasms In ICD-10-CM
•Neoplasm of the Breast •Colorectal Neoplasms •Upper GI Neoplasms •Neoplasms of Pancreas •Skin Cancers Agenda 3 a biopsy of a mole on his back. He is diagnosed with malignant melanoma of the back. •C43.59 Malignant melanoma of other part of trunk Example 24. ... Get Content Here

Neoplasm Mole Images

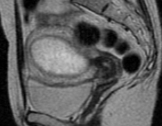
MR APPEARANCE OF PLACENTAL SITE GESTATIONAL TROPHOBLASTIC ...
JANUARY-MARCH 1996 MR APPEARANCE OF PLACENTAL SITE TROPHOBLASTIC NEOPLASM 61 Following the dilation and curettage, the B-HCG level was 45 IU. ... Return Doc

Neoplasm Mole Photos

Eye Cancer (Melanoma And Lymphoma)
Eye cancer is uncommon, and there are no widely recommended screening tests for this cancer in people at average risk. Many doctors feel that most melanomas start from a nevus (mole), which is a benign (non-cancerous) tumor of pigment cells. ... Fetch This Document

Carcinoid Tumors Of The Colon And Rectum - About.com Health
Carcinoid tumors are more likely to occur in the rectum than in the colon and don't usually spread to other parts of the body. Carcinoid tumors account for less than one percent of all colorectal cancers. ... Read Article

Neoplasm Mole Photos

Comments And Responses Regarding Draft Local Coverage ...
When a lesion is removed that turns out to be a neoplasm of uncertain morphology (eg, melanoma vs dysplastic nevi), is it correct to use excision of benign neoplasm rather than excision of malignant neoplasm? AMA Comment ... Fetch Content

Images of Neoplasm Mole

Placental Site Trophoblastic Tumor - Wikipedia, The Free ...
Placental Site Trophoblastic Tumor is a monophasic neoplasm of the implantation site intermediate (5%). Compared to choriocarcinoma or invasive mole, hemorrhage is less conspicuous and serum β-HCG level is low, making early diagnosis difficult. Immunohistochemistry: Often stains with hPL ... Read Article

Neoplasm Mole Pictures

Prevalence And Clinical Observations Of Gestational ...
A spectrum of diseases from the usually benign hydatidiform mole to the highly malignant choriocarcinoma. Gestational trophoblastic Neoplasm (GTN) also called malignant gestational trophoblastic diseases; this term refers to invasive mole, ... Return Document

All About Cancer Of The Tonsils
Everything you need to know about cancer of the tonsils including symptoms, treatments, stages and more. ... Read Article

What Are The Causes And Symptoms Of Appendicitis?
Appendicitis is an inflammation of the appendix. When treated promptly, most patients recover without difficulty. Learn the causes and symptoms. ... Read Article

Images of Neoplasm Mole

Molar Pregnancy And Other Gestational Trophoblastic Diseases
Gestational trophoblastic disease (GTD) is a placen- In partial mole, two sperm cells fertilize a normal ovum resulting in a 69XYY, Persistent gestational trophoblastic neoplasm Persistent disease is seen in 15–20% of complete ... Read Content

No comments:

Post a Comment